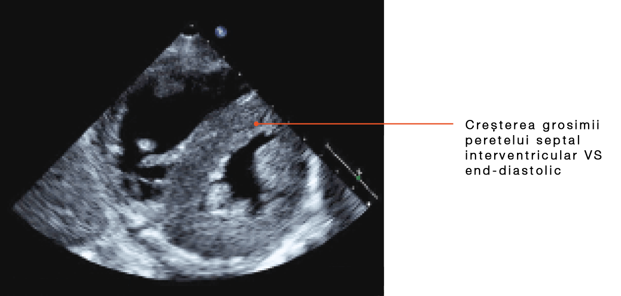
- În ATTR-CM, funcţia diastolică este afectată de depozitele de amiloid din miocard, care determină îngroşarea şi rigidizarea ventriculilor şi implicit debitului cardiac. Abia în stadiile mai avansate de evoluţie a ATTR-CM survine scăderea fracţiei de ejecţie8, 9
- Indiciile imagistice, precum reducerea strainului longitudinal cu sparing pe segmentul apical, pot creşte suspiciunea clinică1, 9
CLICK AICI PENTRU EXEMPLE DE INDICII LA EXAMENUL IMAGISTIC AL DEFORMĂRII MIOCARDICE






